- 发布时间:2021-01-13
我院最新引进飞利浦全新“霓彩”系列 — FD20全能型大平板血管造影系统。作为业内公认的血管机金牌产品,飞利浦血管机始终以其超前的设计理念、无可比拟的技术优势和强大的临床功能赢得了包括中国在内的世界各地医疗机构的称赞和青睐。
该系统采用全新2K*2K影像链系统使得医生在血管造影及介入手术中可以看到更多的临床影像细节,使微血管和细小病灶得以更加清晰的显示,既有利于心脏造影又是外周血管检查的最佳选择。
丰富的临床应用软件不仅让介入手术更加简单安全,同时还可以帮助医生为介入手术治疗方案的制定提供充足的信息参考。借助全能型大平板数字血管造影X射线系统的帮助,我院良好的开展了如下微创手术治疗:
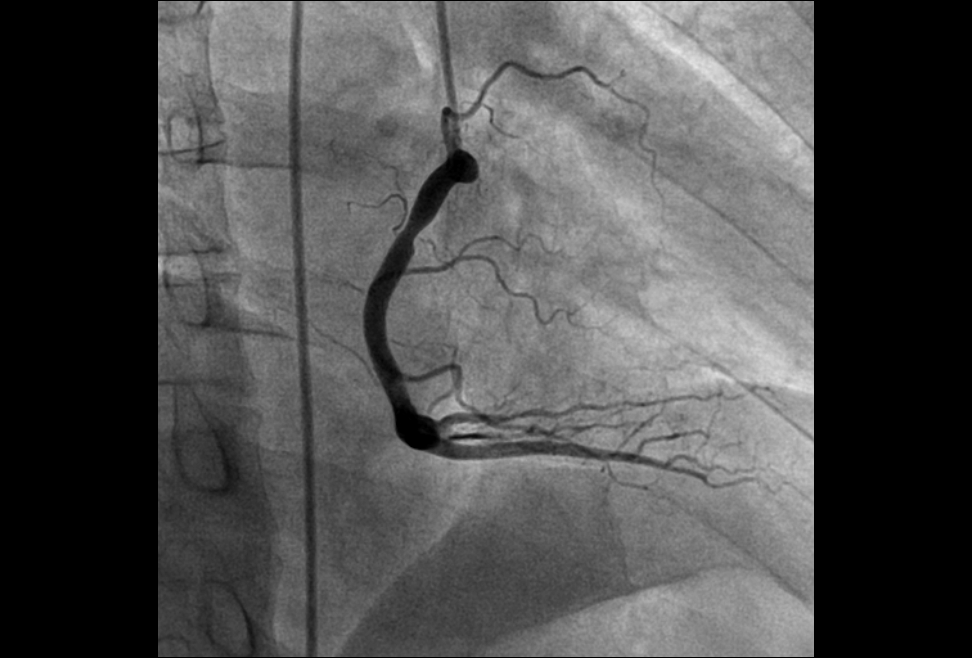
1.心血管介入手术治疗:可以完成冠状动脉造影术,PTCA支架术,二尖瓣球囊扩张术,射频消融术,起搏器植入术,先天性心脏病介入治疗,冠状动脉腔内溶栓术等微创介入手术。
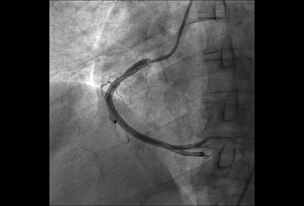
病患的右冠狭窄 通过DSA支架植入 有冠状动脉恢复正常供血,病人病情缓解
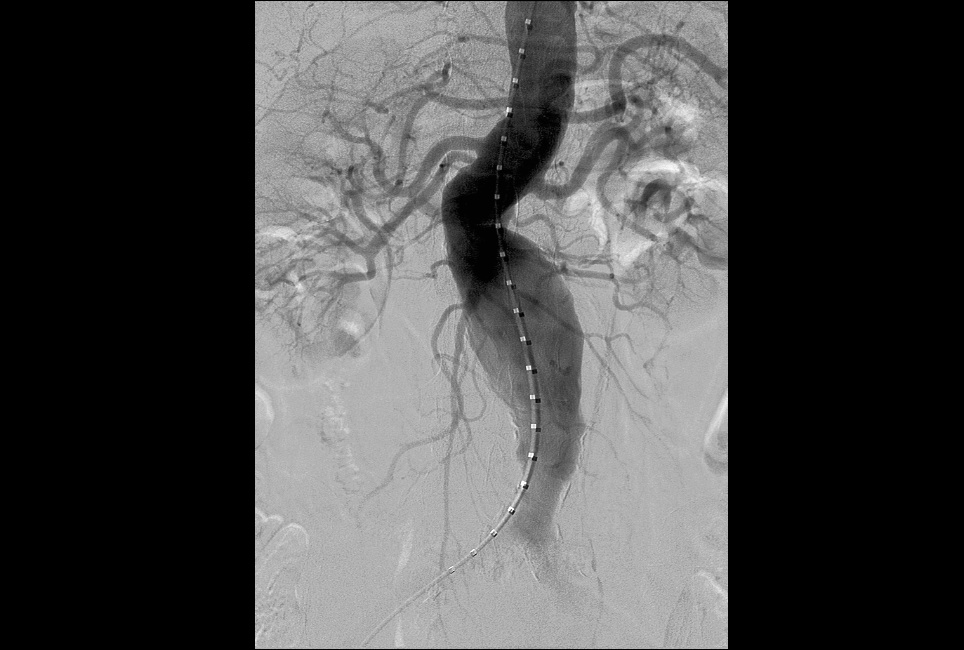
2.外周血管介入手术治疗:腹主动脉血管病症,肝脏肿瘤治疗,肝脏,肺部肿瘤活检,椎体成形术,泌尿系统血管病变等微创介入手术。
DSA造影显示肝癌 通过微导管栓塞病灶,阻断了肿瘤供血,肿瘤逐渐萎缩
左下肺动脉造影 右下肺动脉造影 图左:腹主动脉瘤造影 图右:腹主动脉瘤支架植入造影
3.神经介入治疗:脑动静脉畸形、脑膜动静脉瘘、脑动脉瘤、脑动脉血栓溶解、脑膜瘤、颈动脉海绵窦瘘等微创介入治疗。
图左:病患右颈内动脉造影显示大脑中动脉有动脉瘤 右侧颈内动脉动脉瘤(红色箭头)
图右:经弹簧圈栓塞后,动脉瘤萎缩消退
全能型大平板数字血管造影X射线系统的应用,使许多高风险、高难度的介入手术能更有效、更顺利地开展。引进该系统,医院已相继开展心血管疾病、神经血管疾病、肿瘤疾病等疾患的介入诊疗手段,大幅提升了医院综合诊疗水平,扩大医院的社会影响力。




粤ICP备05006830号


