- 发布时间:2017-04-19
刷牙是我们每天都要做的,与吃饭、喝水一样,太平常不过。但就是这么普通的事,太用力去做会有什么风险?是牙龈出血?擦伤舌头?还撞断牙齿?都有可能,最新风险是刷断牙刷!而且太用力,直接刷进肚子了,怎么办?
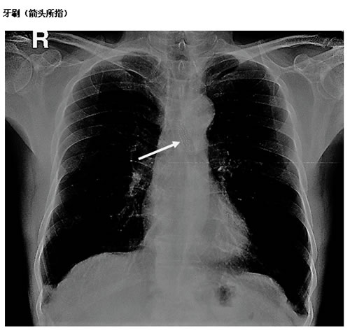
上周末就有一位大叔晨起刷牙太认真,过分用力,一不留神把牙刷刷断了,没等他反应过来又一不小心咽进了肚子里,呕又呕不出来,胸口一阵发闷。大叔赶紧去医院就诊,首诊医院把他转送到市二医院。X光片检查看到一只牙刷头样物体在食管中段,正卡在心脏上方,马上转诊到消化内科。消化内科大夫立即安排胃镜检查,胃镜下见到一只牙刷头正嵌顿在食管狭窄段,用器械完整取出,一量,整整6厘米长。幸好诊治及时,食管粘膜无明显损伤,取出牙刷后大叔胸口不适感完全消散,回家重新刷牙去了。


上消化道异物是指在上消化道内不能被消化且未及时排出而滞留的各种物体,是临床常见急症之一,若处理不及时,可能造成食管穿孔、食管周围脓肿、大血管破溃、食管气管瘘等严重并发症,甚至导致死亡。
成人上消化道异物因误吞所致者占约95%。与传统外科手术相比,内镜处理具有创伤小、并发症少、恢复快、费用低等优点,兼具诊断和治疗的双重价值。原则上,能耐受内镜操作且无并发症的普通上消化道异物均适合内镜处理。
常见上消化道异物有以下几类:
1、尖锐异物:鱼刺、禽类骨头、义齿、枣核、牙签、回形针、刀片等尖锐异物易损伤黏膜、血管而导致穿孔等并发症,应急诊内镜处理。特别是鱼刺嵌顿,通常的服用醋、饭团“将鱼刺软化、带进胃内”等方法基本不靠谱,而且有可能加重嵌顿,甚至会导致食管穿孔。另外需要注意的是老年人或生活不能自理人群,服药时需注意避免连带包装吞入,尤其是铝箔包装的药物,其边角十分锐利,误吞后极易损伤消化道,造成严重并发症。
2、长异物:长度≥6cm的异物(如笔、牙刷、餐具等)不易自然排出,需及时内镜取出。
3、短、钝异物:绝大多数短、钝异物可通过内镜取出。胃内直径≥2.5cm的短、钝异物较难通过幽门,应尽早内镜干预;直径较小的胃内或十二指肠内异物若无胃肠道损伤表现,可等待其自然排出,若停留3~4周以上仍无法排出者,须内镜下取出。硬币是儿童中最常见的金属性异物,虽然食管内硬币大多数能自然排出,但建议择期内镜处理;若硬币已进入胃内且直径≤2.5cm的,无明显症状者,可等待其自然排出,停留3~4周以上未排出者,须内镜下处理。
4、腐蚀性异物:腐蚀性异物易造成消化道损伤甚至坏死,确诊后应急诊内镜处理。 纽扣电池是最常见的腐蚀性异物,常发生于5岁以下儿童,其损伤食管后可能造成食管狭窄,须在数周内复查内镜,若狭窄形成,应尽早扩张食管。
最后提醒广大市民,吞咽有风险,入口需谨慎,一旦误吞服,内镜来解除。




粤ICP备05006830号


