- 发布时间:2018-09-04
ERCP知多点
ERCP是经内镜逆行性胰胆管造影术的英文缩写,是一种类似做胃镜一样,把侧视镜从嘴进入食管而后经过胃进入十二指肠,在进入胆管里,通过X光监视下取出胆管里面结石或者用支架撑开胆管狭窄的手术方法。

病例
一位80岁的大叔,由于急性上腹痛由急诊转入佛山市第二人民医院肝胆外科治疗。入院后行CT检查明确了其胆道结石并胆道梗阻,而且不取出结石疾病难以治愈。但阿叔在过去接受毕二式胃大部分切除、结肠部分切除、胆囊切除三次手术,并且难以寻到相关记录了解三次手术具体情况,消化道结构改变使得他接受常规ERCP手术治疗难以实现;同时,多次手术造成的腹腔黏连严重使得腹腔镜手术又受限制。

按照常规,仅能实施再次开刀手术,但多次手术的过往让阿叔及家属对再次开腹手术心有余悸!经过科室讨论,并在与阿叔家属充分沟通后,市二医院肝胆外科团队决定为阿叔实施消化道改道术后的ERCP下取石手术。
在消化内镜手术领域,ERCP手术一直被称为内镜手术的明珠,能开展这种手术一直是消化内镜医生走向成熟专家的重要里程碑式标志之一,而对消化道改道术后的ERCP手术在十年前仅有北京协和医院,上海长海医院等国内殿堂级医疗ERCP手术中心能够开展;尽管近十年来ERCP技术发展飞速,市级医院陆续开展,但消化道改道术后的ERCP由于复杂多变且极高风险,此前佛山五区仅有两位医生完成过此种手术。
来看看这项技术的难点:实施ERCP手术时,医生应用的十二指肠镜不同于普通胃镜,医生操作时仅能看到侧面的影像,就好比用耳朵当眼睛看路,而前次实施手术时,又因不同医生和术中不同情况又常有差异,这种情况下应用侧视镜通过患者改变了的胃肠道结构,手术的难度自然就提升非常多。而其中最难的是通过胃肠吻合口再入输入端后翻转到十二指肠水平部时,由于镜身盘绕及视线局限,很难前进,可谓每一厘米都需要调整定位。有学者统计在小样本失败案例中存在高达4分之一的比例发生此类部位的胃肠道穿孔并发症,这些原因让很多医生难以抉择。
即便通过前述险境,又遇新的挑战:消化道经过毕二式胃大部分切除术后由于十二指肠乳头及开口图像与平常ERCP时相反,操作十分不便。引用一位业内前辈话此时就像的一个平常习惯用右手的人突然被迫必须要用左手来做事。而在取石过程中消化道的支持点位置改变,又需要医生超强的调控内镜能力保持取石过程稳定。
重重考验集合一身,所以也就不难理解为什么能完成此种手术救治患者被被视为内镜ERCP医生的最高荣耀。
阿叔获得了成功。

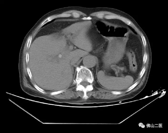
手术前实验室检查及CT影像学(箭头处)明确位于肝门部的胆管结石引起胆道梗阻并感染情况
手术中内镜观察到原来肠道被切断后的输入端闭合口(输入攀) 
视野下倒置的胆管和胰腺在肠道的开口处(oddi括约肌) 
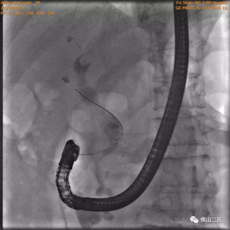
X光监视下看到白色箭头所示胆管内造影剂缺损图形判断为结石占位影像 
内镜下取出胆总管内结石 
取出解释后结石后,球囊堵住胆管末端实施全胆管系统造影,明确无结石残留情况 
术后第二天再次造影明确胆管内无残留结石并胆道通畅
手术团队
手术成功的关键参与者是佛山市第二人民医院肝胆外科温顺前主任。温顺前主任是佛山地区知名的肝胆外科专家,精通肝门部胆管癌切除术,胰十二指肠切除术等复杂肝胆胰外科手术,其在胆道手术领域多年来沉积出的深刻体会一直是我院肝胆外科ERCP团队不断取得成绩的根本,在手术中几次重要决策使得本次高难度手术得以成功实施。
廖冠群博士作为本次手术的主刀医生,曾跟随国内知名的郑大一附院刘冰熔教授、哈医大二院关景明教授、黑龙江农垦总医院李双全主任医师、中大一附院华赟鹏教授及广医二院温子龙副教授五位老师学习ERCP手术,博采名家众长,年完成100余例不同类型的治疗性ERCP手术。其ERCP手术风格深受华赟鹏教授的影响,所实施的ERCP手术对十二指肠乳头括约肌采用尽可能保护的策略,使得接受ERCP手术患者不仅到达微创的胆总管取石等解除胆道梗阻的目的,更是使患者在远期预后方面得到更多的受益。
意义
此例ERCP手术的成功使佛山市第二人民医院成为佛山五区能独立开展此类手术的医院之一,标志着市二医院肝胆外科在ERCP手术领域进入佛山五区第一梯队。
市二医院肝胆外科在在院领导的支持下,温顺前主任的带领下锐意进取,现已成为是广东省唯一一家以肝胆胰疾病为中心,一家将介入医学、消化内镜及传统肝胆外科融合一起的新型肝胆胰疾病诊疗中心。科室内除可开展传统高难度肝胆胰外科手术外,还成熟开展ERCP技术、超声引导下肝内胆管取石技术、腹腔肿瘤介入治疗,腹腔出血介入止血技术等。正因为多技术支持下的动态化多学科诊疗模式,就诊市二医院的肝胆胰疾病患者得到了最为适宜的治疗,而不仅限于传统外科擅长的手术治疗。
近年来,市二医院肝胆外科在这种动多技术融合模式在佛山地区得到越来越多的患者认可并取得优异的临床疗效,积累了良好的社会口碑。
专 家 介 绍
温顺前,肝胆外科主任、副主任医师
擅长肝胆外科及腹壁疝疾病的微创手术,对疑难肝胆疾病、肝胆胰等腹腔脏器肿瘤性病变、复杂肝胆管结石、重症胰腺炎、门脉高压症、腹外疝等疾病的综合治疗具有较深造诣,能够熟练完成根治性胰头十二指肠切除术、腹腔镜下肝癌切除术,腹腔镜下胆总管一期缝合术、腹腔镜下胆总管空肠吻合术等肝胆外科高难度手术。在肝胆胰肿瘤微波、射频消融等治疗具有丰富经验。
1994年毕业于广州医学院医疗系,在佛山市第二人民医院外科工作至今,有扎实的理论基础,对普外科各种常见病、多发病及疑难重症的预防、诊断及治疗具有丰富的临床经验。曾到中山大学附属一院肝胆外科、胃肠外科、血管外科及微创中心学习深造。在国家级和省级杂志上发表学术论文多篇。
专 家 介 绍
廖冠群,肝胆外科主治医师、医学博士
擅长应用内镜(ERCP)方式治疗胆总管结石及胆道梗阻。哈尔滨医科大学获外科学硕士学位,指导教授为邰升教授。南方医科大学获医学博士学位,指导教授为李国新教授。并于2018年进入中山大学肿瘤医院及佛山市第二人民医院联合培养博士后工作站。目前年完成过百例ERCP手术,并擅长腹腔血管介入诊疗技术及肝胆专科常规腹腔镜手术,被《Surgical Endscopy》等杂志邀请为同行评议审稿人。目前以第一作者及通讯作者在国内外发表学术论文10余篇,包括SCI收录文章8篇及中华医学会系列杂志7篇。
供稿丨 肝胆外科
编辑 | 黄晓晴 陈宇
审核 | 杨波




粤ICP备05006830号


