- 发布时间:2018-04-17
很多家长非常重视自己孩子的牙齿,希望小孩能拥有一口好牙,吃嘛嘛香。当家长发现孩子换牙过程中牙齿出现问题,例如不整齐、龅牙、地包天等会很焦急到医院就诊,但大部分医生会建议等到小孩换完牙之后再进行矫治。其实不然,有些问题越早解决越好,来看看专业的正畸医生的介绍吧。

病例一
患者10岁,因牙齿不整齐就诊。医生抢在上颌第二大臼齿萌出之前为拥挤的牙齿提供了足够的间隙以排齐牙列。

治疗前
治疗后
病例二
对于骨性的地包天患者,在生长发育高峰期前进行早期矫治有利于促进上颌骨发育,改善面型,减少后期矫治的难度。

骨性三类前方牵引

所以不要错过了孩子的最佳矫治时机,请向专科医师咨询。
矫牙一定要拔牙吗?
一部分对自己的牙齿不满意,但又不敢到医院进行咨询检查,因为在他们的潜意识里矫牙多数是需要拔牙的。不可否认由于人种的问题,中国人拔牙的比例要比西方白种人高,这是因为我们的牙齿大,颏部较后缩,鼻较低,牙弓显突,使得拥挤前途情况更多。同时由于饮食及口腔保健的差异,国人龋病较多,牙弓长度的丢失的情况常见。其次,由于专业医师少,预防性矫正及阻断矫正开展受限,使一些本不该拔牙的患者未及时治疗,不得不在后来采取拔牙矫正。
但是这并不是说国人矫正就必须拔牙,拔牙与否主要取决于每个患者的特定情况,不应走极端。加上近年来种植支抗的发展,使得很多原本需要拔牙的病例可以不拔牙矫正。


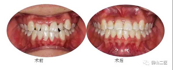
治疗前VS治疗后
口腔正畸医生介绍
蔡超雄 副主任医师
擅长:对儿童、青少年及成人的牙列不齐、牙列拥挤、上颌前突、反合等各种牙颌畸形以及混合牙列的矫治。开展各种口腔矫治技术;隐形无托槽矫治技术,直丝弓矫治技术,舌侧矫治技术,种植支抗矫治技术,外伤固定正畸联合矫治技术等。
毕业于华中科技大学。1987年一直从事口腔临床工作至今。佛山市口腔正畸专业委员会委员,中华口腔正畸专业委员会会员。从事正畸专业20多年。曾主持卫生局市级科研立项,以第一作者发表多篇国内医学期刊文章,带教培养多名本科毕业生。
张宇红 医师
擅长:正畸专科方面,对各年龄段牙性错合畸形(如牙列拥挤、哨牙、地包天及儿童替牙期的骨性错合畸形的治疗)。同时对口腔各类疾病,如:口腔美容修复、根管治疗术、牙齿美学树脂充填术、牙周病治疗等都有独到的见解和治疗方式。
毕业于中山大学口腔临床医学,于上海同济大学口腔医学院进修口腔正畸专业。临床上,采用当今最先进的矫治技术隐形托槽矫治技术;直丝弓矫治技术(MBT矫治技术)、标准的方丝弓矫治技术;同时还开展片断弓矫治技术、口外支抗矫形技术、口内支抗(Nance弓、TPS)矫治技术、功能矫治器两期矫治术等,除此之外还积极推行早期矫治的正畸理念:自乳牙期开始进行定期检查,在替牙期实行早期矫治,临界病例的模型和相关资料的记存观察,实行早期预防性和阻断性矫治。

吴敏婷 主治医师
擅长:针对生长发育期儿童及青少年错颌畸形形成的阻断治疗,协助在畸形形成早期发现不良口腔习惯及生长因素,及早破除,抑制不利因素,促进牙颌面正常发育。兼任儿童牙科主诊医生,长期关注儿童口腔保健问题,为儿童牙齿进行窝沟封闭、涂氟治疗,乳牙拔牙间隙保持等。
暨南大学硕士研究生,中华口腔医学会(CAS)会员,中华口腔医学会正畸委员会(COS)会员,WFO世界正畸联盟会员。毕业于暨南大学医学院口腔医学系,研究生期间从事正畸复发机制及阻断方式的基础研究,并发表国内中文期刊文章。曾参加Andrew直丝弓及TWEED经典方丝弓培训。运用舌刺、双曲舌簧牙合垫、Frankle功能矫治器、肌激动器、Twin-Block等进行一期治疗,解除骨骼和肌肉对牙弓正常发育的限制。二期运用直丝弓、种植支抗等矫治技术纠正牙性错颌并获得良好的咬合接触关系,最终达到软硬组织的平衡状态。
供稿:口腔医学科 编辑:陈宇 审核:梁文福 发布:严小玲




粤ICP备05006830号


